[email protected]
03-5243-666
回到首頁
關於峰皇
診所介紹
醫師技師介紹
設備介紹
診療項目
全瓷冠 陶瓷貼片15,000
植牙40,000
隱適美矯正165,000
案例介紹
收費方式
影音介紹
牙醫教室
門診時間
× close
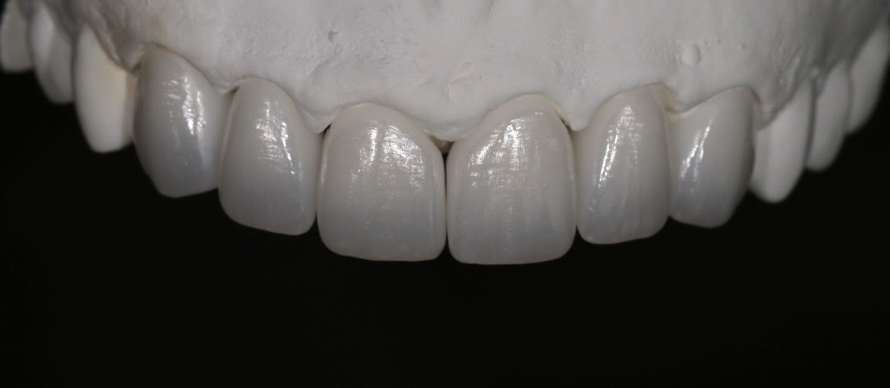
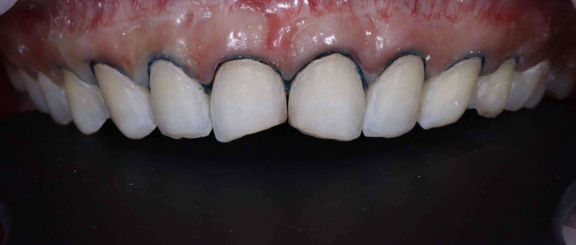
全瓷冠 陶瓷貼片15000
回到首頁
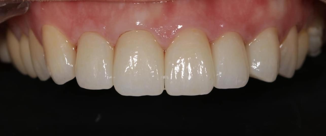
全瓷冠 陶瓷貼片15000
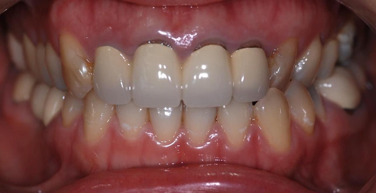
全瓷冠 陶瓷貼片15000
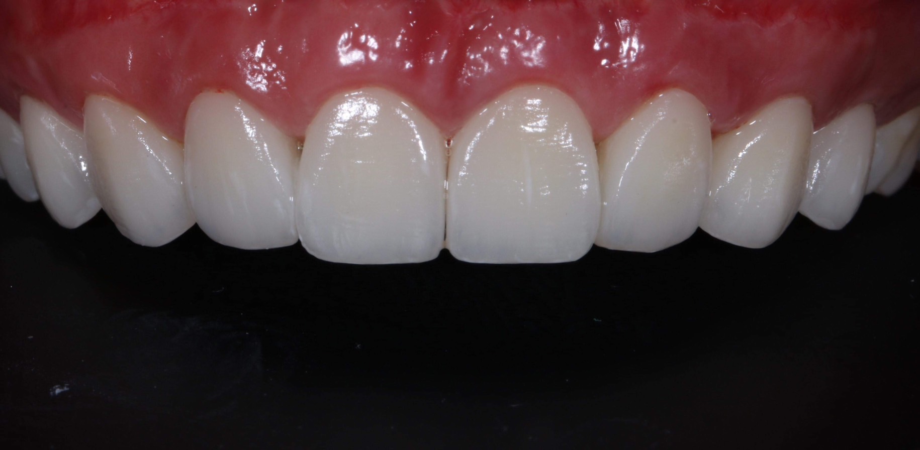
更多案例請參考
峰皇牙醫診所 臉書粉絲專頁
https://www.facebook.com/emperordentalhsinchu?mibextid=LQQJ4d